医学遗传科 科室动态详细

染色体精准呈现,遗传病无所遁形
——华西二院全国最大通量染色体扫描仪投入使用

我院医学遗传科/产前诊断中心已于2019年10月底正式开展550条带型的高分辨染色体核型项目,现已为众多病患提供高分辨染色体核型分析检测服务。通过更加精准的分析染色体结构和数目情况,更准确的诊断是否存在染色体易位、倒位、缺失、重复等复杂结构异常,大大提高了染色体病诊断的准确率,为精准的产前诊断提供保障。


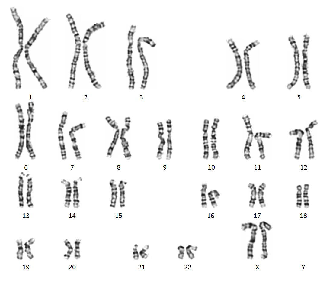
普通分辨染色体核型示意图




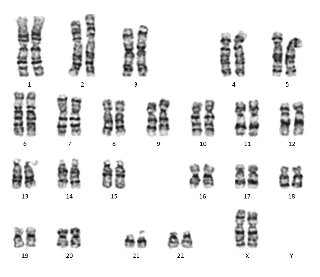
550条带型的高分辨染色体核型示意图


此次我院医学遗传科/产前诊断中心引入了全国最大通量的全自动染色体扫描仪。全自动染色体扫描仪可一次完成320个玻片样本扫描,全程智能化抓取每张样本上的染色体,做到了既准确又高效。为高分辨染色体核型项目的进一步开展打下了良好的基础。


目前,该机器完成硬件主体和软件装机,经调试后已正式投入临床使用。该设备使我院染色体核型分析的扫片量加快近一倍。在用的3台全自动染色体扫描仪,总量达到640个玻片样本处理量,整个处理量位居全国领先水平。

医学遗传科/产前诊断中心一直致力于提高遗传病检测准确度,努力缩短报告周期,为患者提供最高效、最专业的诊疗服务,为您和宝宝一路保驾护航。










  • 华西第二医院服务号

  • 华西第二医院订阅号

  • 华西第二医院微博

  • 华西第二医院抖音